Услуге и ФКА

Које су предности зубних фасета?

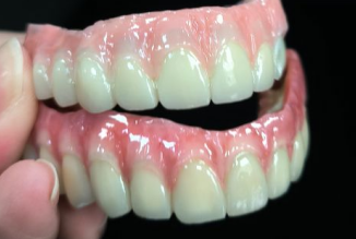
Које су предности зубних фасета? Дентал Технологија фурнира може поправити зубе према облику алвеоларне кости без оштећења зуба и десни, не само Погодан је и за зубе велике празнине, и лако се могу решити за дефекте зуба, јаку обојеност зуба и неравни зуби. 1. Природна боја: Боја потпуно керамичке круне је природнији и лепши, а посебна боја је додата да би се приближила природни зуби. Поред тога, керамички фластер такође има високу отпорност на хабање и стабилност, и може задржати природну и лепу боју дуго времена. цустом абутмент 2. Леп облик и промена боје: Поред тога ефекат бељења, такође може побољшати недостатке природних зуба који су премали, преоштри и локална оштећења и чине облик зуби лепши. Керамичке фасете се наносе као "комадићи ноктију". до зуба. Слојевити цирконијум 3. Не штети пародонту: Да би био леп, цервикални треба да продре у десни, што лако може изазвати црвенило и отицање десни, али фасете грлића материце могу се налазити на десни или благо надоле, а користи се цемент. Запечаћено, боље држи десни здравље него круне. Оутсоурцинг денталне лабораторије
Повезане вести
Оставите ми поруку
X
Користимо колачиће да бисмо вам понудили боље искуство прегледања, анализирали саобраћај на сајту и персонализовали садржај. Коришћењем овог сајта прихватате нашу употребу колачића. Политика приватности
Одбити Прихвати